アルゼンチンアリやヒアリなどの侵害性アリに対し強大な敵に出会ったかのような激しい忌避行動を促す成分を在来アリの体表物質の中に見出しました。その成分の“仮想敵”効果と神経行動学的作用機構の解明についての研究成果が、2022年8月30日に、Frontiers in Physiologyに掲載される予定です。
私達は日本固有の普通種であるクロオオアリが体表に分泌する全炭化水素成分を合成するなどし、そのうち微量成分として検出される(Z)-9-トリコセンが、南米から世界中に生息域を拡大して人々の生活や経済活動に多大な被害を及ぼすアルゼンチンアリやヒアリに対し安全、強力、かつ持続性の高い忌避剤として作用することを示しました。
電気生理学的、免疫組織化学的手法を駆使してこの成分に対する反応を調べ、触角感覚器の応答から脳内一次中枢の活性化にいたる神経行動学的メカニズムを明らかにしました。その結果、この成分がアルゼンチンアリやヒアリに対して強大な“仮想敵”の存在をにおわせる幻臭として察知されると“Fight (闘争) or Flight (逃走) ”の行動スイッチが逃走側へと切り替わり自主的な忌避行動が引き起こされると推測しました。
同時に調べた在来アリについては(Z)-9-トリコセンの忌避効果がみられなかったため、(Z)-9-トリコセンの処方は既存の殺虫剤と違い、生物学的多様性を損なうことなく侵害性アリをターゲットとする環境にやさしい防除や再侵入防止に役立つと期待されます。
- 研究者
- 奈良女子大学大和・紀伊半島学研究所共生科学研究センター 上尾 達也 協力研究員、尾﨑 まみこ 協力研究員 (神戸大学理学研究科名誉教授、工学研究科客員教授、理化学研究所客員教授)、神戸大学理学研究科 松原 亮介 准教授、京都府立大学生命環境学部 中嶋 智子 特任講師、筑波大学 松山 茂 講師、国立臺灣大学 黄 榮南 教授、テルアビブ大学 アブラハム=エフェッツ 教授
ポイント
- 1.【発見】 私達は、日本在来種であるクロオオアリ (Camponotus japonicus) が“敵・味方識別フェロモン”として用いている体表炭化水素成分について、キラル異性体も含め全てを化学合成するなどして準備し、触角でそれらに触れたアリの行動を調べ、(Z)-9-トリコセンが効果的にアルゼンチンアリの忌避行動を引き起こすことを見出しました。
- 2.【作用機構】 閾値以上の量の(Z)-9-トリコセンは触角上の嗅覚器で多くの受容神経を興奮させました。その信号が脳の嗅覚一次中枢に届くと“敵の匂いの情報処理を担う領域”で広範な脳活動がおこりました。このことから、アリの脳は匂いによって目の前に強大な敵がいるかのように勘違いして、忌避行動につながると考えられました。
- 3.【特徴】 (Z)-9-トリコセンが忌避行動を引き起こす閾値 (最低用量) はアルゼンチンアリやヒアリに対して特に低く、在来アリがはっきりとした忌避行動を示すには更に多くの用量が必要でした。そのため、この忌避剤を適量用いて従来の殺虫剤主体の駆除法と効果的に組み合わすことで、在来種を駆逐せず環境の保全や生物多様性の維持に配慮した侵害種防除の実現が期待できます。
研究の背景
- 1. 国際的なグローバル化の中、国境を越えた物流が常態化し、それに乗じて侵害性アリの侵入、定着、繁殖が全地球規模で進んでいます。2021年7月には奈良市内で、2022年3月には大阪国際空港敷地内で、新たなアルゼンチンアリの侵入が報じられたことは記憶に新しいところです。このように国内では生息拡大が止まらないアルゼンチンアリに続き、毒性の強いヒアリの侵入も複数回報告されており、その定着が心配されています。
- 2. 直接的な人的被害が取りざたされるヒアリに比べアルゼンチンアリの被害は軽微に思われがちですが、人の生活圏に親和性がある本種は駆除対象として不快害虫に分類されていても、一般家庭、公共施設、製造ラインや倉庫に侵入すれば、食品や水回りの汚染、機器の不具合、製品劣化の原因となります。また、果樹害虫を天敵から守る役割を演じるなどして多額の経済的な損害を与えることもわかっています。
- 3. アルゼンチンアリやヒアリは生殖を担う女王アリが何千頭もいるスーパーコロニーを形成するためその繁殖力は桁外れです。これらの侵害性アリが繁殖している地域では、本来の自然環境によって育まれた生態系のバランスが崩れて地域固有の生物多様性が貧困になり、特に在来アリの多くが駆逐されてしまうことが知られています。
- 4. 侵害性アリ対策は、他の害虫駆除と同様に毒餌や殺虫剤散布による駆除が主流となっていますが、一旦定着・繁殖を許してしまえば、一部を殺虫処置してもすぐに周囲からの再侵入が起こるため、広範囲に継続的に薬剤を散布する必要がでてきます。早期発見早期根絶のタイミングを逸してしまうとアリとの攻防は長期にわたり、労力とコストと環境負荷が大きくなります。
- 5. 殺虫剤に比べこれまで忌避剤の効用は重んじられてこなかったように思いますが、アリがもつ敵・味方識別本能を逆手に取った”仮想敵効果”を有する無毒の忌避剤の開発は、殺虫剤の使用量を効果的に抑えることにつながり、安全性やコストや環境負荷の観点からも侵害性アリ防除の新しい切り札になると考えられます。
研究の内容
(Z)-9-トリコセンに対する忌避行動

ガラス棒の先端のスビーズにクロオオアリの体表炭化水素成分 (キラル異性体も含め35種類) をそれぞれ10段階の量で塗布し、アルゼンチンアリの触角に触れて調べていくと、0.4マイクログラムの(Z)-9-トリコセンに触れた時に忌避行動が現れ始め、50マイクログラムでほとんどのアリが忌避行動を示しました (図1 赤カラム。この時アリはしきりに触角を拭う仕草を見せ、(Z)-9-トリコセンの匂いを強く嫌悪していることが窺えました ( Supplementary Material Video 5 参照)。
(Z)-9-トリコセンに対する神経応答
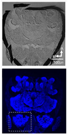
触角の炭化水素感覚器に忌避行動を引き起こす高用量の(Z)-9-トリコセンを与えると、複数種類の嗅覚受容神経の応答を示す電気信号が記録されました (図2)。この時アリの脳 (図3上:ノマルスキー微分緩衝顕微鏡像 下:全神経組織染色像) では、嗅覚一次中枢 (図3下 点線四角内) の敵・味方識別に関わる領域 (図4上 水色糸球体群が存在する部分)、すなわち炭化水素受容に特化した感覚器からの神経が入力しているT6領域 (図4下左 炭化水素感覚器から脳への嗅覚受容神経の順行染色像) が広範囲に活性化されていることが分かりました (図4下右 脳神経組織の活動部分の可視化=赤色蛍光染色)。この結果から、(Z)-9-トリコセンの匂いの情報はアリの脳の“敵・味方識別領域”に運ばれて、その匂いが閾値以上に強い場合には“仮想敵”の存在を想定した逃走スイッチがオンとなり忌避行動が引き起こされると考えられました。



(Z)-9-トリコセンによる仮想敵バリアの有用性

アルゼンチンアリが定着している神戸・ポートアイランドで実施した野外実験の一例を図5に示します。操作をしない粘着トラップと (Z)-9-トリコセンを周りに塗布した粘着トラップを用意し、隣合わせにして戸外に2週間放置しました。操作をしない粘着トラップには多くのアルゼンチンアリが捕獲されていましたが (左)、(Z)-9-トリコセンを周りに塗布した粘着トラップにはほとんど捕獲されていませんでした (右)。アルゼンチンアリは(Z)-9-トリコセンのバリアを超えて侵入してこないことが分かりました。
(Z)-9-トリコセンによる忌避効果の種特異性
私達は、侵害性アリ3種、在来アリ3種について(Z)-9-トリコセンによる忌避効果を調べましたが、アルゼンチンアリとヒアリには強い効果がみられたのに対し、イエヒメアリ、アミメアリ、クロヤマアリ、クロオオアリには、50マイクログラムまでの処方では忌避効果がほとんどみられませんでした (図1参照 個別データ省略)。
今後の展開
基礎科学的展開
- 1. フェロモンは種内他個体の行動や生理に変化を促す化学交信ツールです。単一成分フェロモンに関する研究に比べ多成分フェロモンの研究は進んでいません。化学合成の技術を駆使することによって (図6参照) 多成分フェロモンの構成成分の中から、個々の物質の化学構造的な特徴と作用を対応づける研究が進むと期待されます。
- 2. 今回アリの脳科学実験に用いた手法は応用性に富み、基本的に種を選ばないばかりか、匂いに限らずどんな種類の刺激についても脳活動を追うことができるため、様々な小さな生物の脳においても外界からの色々な感覚刺激に対する活動をニューロン単位で手軽に可視化できるようになると思います。
応用科学的展開
- 3. (Z)-9-トリコセンを忌避剤として用いるとアルゼンチンアリやヒアリに対して自主撤退を促す“仮想敵バリア”を作ることができます (図7参照)。この“仮想敵バリア”を設備単位、家庭・施設単位、行政区単位で使えるようにすると、バリア内への侵入がなくなるので、人の生活や社会・経済活動をアリの被害から守ることができるようになると期待されます。殺虫剤と併用することで、新たな侵入を未然に防げるばかりでなく、殺虫処方を済ませた区画への再侵入も防ぐことができるようになり、再侵入を繰り返すアリとの消耗戦に終止符を打つことができると予想されます。
- 4. (Z)-9-トリコセンはアリが常時分泌している無毒の物質なので無差別な毒性をもつ殺虫剤に比べて環境負荷は遥かに小さくて済みます。人間が昆虫の敵・味方識別フェロモンについて熟知し利用することでSDGsの目標「陸上生態系の保護と回復ならびに生物多様性損失の阻止」に沿った外来生物防除の新技術の発展につながります。


謝辞
本研究は、2015年度科学技術振興機構A-step、2021年度大下財団研究助成、Taiwan MOST grant 108-2638-H-002-001-MY2の支援を受けました。特許第5835703号「アルゼンチンアリの防除方法、防除剤およびその製造方法」を2011年に出願しています (発明者:尾﨑 まみこ、小林 碧;出願人/特許権者:国立大学法人神戸大学)。
論文情報
- タイトル
- “Chemical identification of an active component and putative neural mechanism for repellent effect of a native ant’s odor on invasive species”
- DOI
- 10.3389/fphys.2022.844084
- 著者
- Tatsuya Uebi, Tomoya Sakita, Ryo Ikeda, Keita Sakanishi, Tomoaki Tsutsumi, Zijian Zhang, Huiying Ma, Ryosuke Matsubara, Shigeru Matsuyama, Satoko Nakajima, Rong-Nan Huang, Shunya Habe, Abraham Hefetz, Mamiko Ozaki
- 掲載誌
- Frontiers in Physiology
